Actual cases treated by Dr. Lau
Porcelain veneers on two central incisors
BEFORE
Old bonding discoloured and chipped.
AFTER
Porcelain veneers are natural-looking and provide strength and vitality.
porcelain crowns after gum recontouring
BEFORE
Root canal treated teeth with anesthetic temporary crowns and uneven gum line.
AFTER
New porcelain crowns with minor gum recontouring with a soft tissue laser.
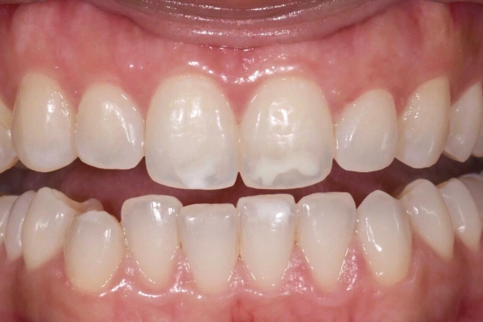
white spot treated with ICON infiltration
BEFORE
Prominent white spot lesions on front teeth.
AFTER
Icon infiltration eliminated white spots with no drilling and no removal of healthy tooth structure.
bonding to close gaps between teeth
BEFORE
Small gap and slight flaring of upper front teeth.
AFTER
Bonding was done to close the gap and improve contour of front teeth without orthodontics.
bonding to restore fractured central incisor
BEFORE
Patient fractured his upper front tooth.
AFTER
Bonding was done to restore front tooth with no drilling and no needles.
combination case: Invisalign, Porcelain bridge, crowns, veneers
BEFORE
MID-TREATMENT: AFTER INVISALIGN
Congenitally missing lateral incisor on right.
Invisalign was done to even out uneven gum levels and create space for bridge.
FINAL
Porcelain bridge on right to replace missing tooth.
Porcelain veneers and crowns on remaining front teeth to achieve harmony in form and colour.












